Keratoconus
Overview
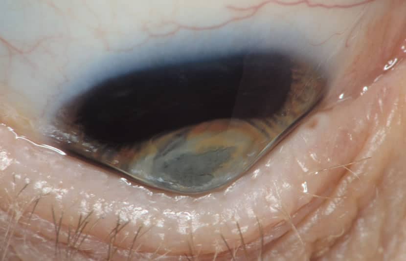
Keratoconus is a progressive eye disease in which the normally round cornea thins and begins to bulge into a cone-like shape. The cornea is the clear, central part of the surface of the eye, which is responsible for most of the eyes focusing power. In patients with keratoconus, the cone-shaped cornea deflects light and causes distorted vision.


Keratoconus often begins to develop between the teen years and the early 20s, although it can develop at any age. Changes in the shape of the cornea occur gradually, usually over several years. Patients with keratoconus often experience blurred and distorted vision, nearsightedness, and sensitivity to light.
Early stages of keratconus can be treated with eyeglasses or soft contact lenses. For progressive keratoconus, rigid gas-permeable contact lenses can be used and for certain individuals collagen cross-linking may be an option. If keratoconus becomes severe enough, corneal transplant surgery can be performed to correct the condition.
Learn More
To learn more about Keratoconus, please call 212.753.6464 today to schedule a consultation.

